烤瓷牙與牙齒貼面喺牙齒美容中嘅應用
專業醫師根據顧客嘅實際情況與期望,制定有效嘅個性化牙齒美容方案,應用烤瓷牙或牙齒貼面讓您嘅牙齒變得完美、美麗。
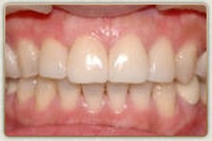
案例1:
患者覺得門牙中間有黑色陰影、唔好睇,又唔想磨掉牙齒作假牙。
診所以牙齒貼面重建、唔須作假牙,而且改善牙罅陰影嘅問題。
近距離觀察,仍然相當之好睇、自然、毫冇破綻。
治療前:

治療後:

效果因人而異
案例2:
患者因門牙牙齒崩咗一嚿。
本診所實施全瓷美齒片治療,完成後患者相當滿意。近距離觀察,幾乎真假難分。
治療前:

治療後:

治療效果特寫:

效果因人而異
案例3:
患者前牙有縫,覺得會一直「漏財」,到診所尋求改善。
本診所以全瓷美齒貼片重建牙齒外形,效果十足自然、美觀。
治療前:

治療後:

效果因人而異
案例4:
患者喜歡嗑瓜子,磨損門牙。
本診所以瓷牙貼面治療,迅速恢復美觀及咀嚼功能,患者十足滿意。
治療前:

治療後:

效果因人而異
上一篇:皓齿美白
下一篇:牙齿美白-牙科医师专业分析